Doctors baffled that Walsall woman was 'walking and talking as she was' due to size of brain tumour
A brain tumour patient from Walsall is campaigning for better funding to help find a cure for the disease after receiving a shock diagnosis.

Helen Green, 58, initially thought seizures in her sleep had been triggered by the stresses of life and her job as a key worker at Asda during the pandemic.
But when the episodes continued over two months, she was referred for an MRI scan at Walsall Manor Hospital where medics discovered a brain tumour.

Helen, who lives in Bloxwich, said: “I also started to forget things that had happened that day and had trouble relaying information.
"I thought the seizures could be epilepsy and despite my anxiety around feeling claustrophobic during the scan, I knew I needed to have it to find out what was wrong.”
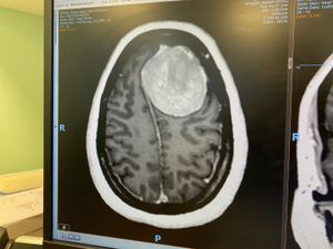
The MRI scan showed a 6cm tumour growing on the left temporal lobe of her brain.
The fact that Helen was walking and talking as she was, left doctors baffled due to the size and placement of the tumour.
Helen added: “The scan showed three shadows within its circular shape which I nicknamed ducky egg and the triplets, I needed to make light of what I had just been told to help me stay positive.”
In July 2021, surgeons at the Queen Elizabeth Hospital in Birmingham removed the tumour, confirming the mass was a low-grade meningioma and Helen would be monitored with regular scans.

The mother-of-two joined Brain Tumour Research as a campaigner and this month will take part in the charity’s Cycle 274 Miles in August Challenge to help raise awareness of the disease which has left her with severe fatigue.
“Before my diagnosis I felt like I had a run of bad luck after the passing of my daughter’s father and going through a divorce but since I was told about the tumour, it’s changed my perspective on life," Helen said. "I have recently joined a community choir and I am working on pursuing a new career, working with people who have experienced brain trauma.
“I feel like the luckiest person on the planet that I am still here and I have been given a voice to fight for a cure for those who have lost theirs. I was given this tumour to help make a difference."
Brain tumours kill more children and adults under the age of 40 than any other cancer, yet historically just one per cent of the national spend on cancer research has been allocated to brain tumours.
Mel Tiley, community development manager at Brain Tumour Research, said: “We’re sorry to hear about Helen’s diagnosis.
"Her story reminds us that brain tumours are indiscriminate and can affect anyone at any age.
"We’re thankful for Helen for sharing her story with us and are delighted that she has joined the charity as a campaigner to help us drive for more funding to better understand this dreadful disease.”
Brain Tumour Research funds sustainable research at dedicated centres in the UK.
It also campaigns for the Government and the larger cancer charities to invest more in research into brain tumours in order to speed up new treatments for patients and, ultimately, to find a cure.
The charity is the driving force behind the call for a national annual spend of £35 million in order to improve survival rates and patient outcomes in line with other cancers such as breast cancer and leukaemia and is also campaigning for greater repurposing of drugs.
To support Brain Tumour Research via Helen’s Cycle 274 Challenge visit her fundraising page at facebook.com/donate/791372772304800.




