My 'shaving rash' turned out to be cancer
A woman who thought she had a shaving rash on her legs was devastated when she found out it was cancer.
Rhiannon Douglas, from Cannock, noticed the red rash on her legs but assumed it was down to shaving.
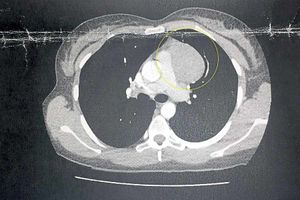
It quickly spread and after being rushed to A&E with back pains, tests revealed she had an 8.5cm mass growing in her chest.
The receptionist's worst fears were confirmed when she was diagnosed with nodular sclerosis lymphoma – a rare type of Hodgkin lymphoma.
Doctors told the 21-year-old that her rash was a rare symptom of her type of cancer. Had it not flared they said it was unlikely she would have been diagnosed in time to be treated.
Since her diagnosis in November, her tumour has shrunk and she now has regular scans once a month.
She is hoping to be in remission by summer and is sharing her story to raise awareness for the bizarre symptoms cancer can cause.

She said: "I couldn't believe that the rash on my legs was a rare sign of cancer. I had never heard or seen of this before so I was completely shocked when I found out.
"At first I just thought the rash was caused by shaving. It made sense as it was my cousin's wedding a few days before and because I was wearing a dress I had shaved my legs. But when it started to spread I panicked and thought it was meningitis and went straight to the doctor.
"My legs were constantly burning, I could only wear loose fitted clothes and I couldn't wear shoes.
"I had to live in flip flops."
She first noticed the rash in May 2016, but it wasn't until it started to spread that she saw a doctor who told her she had Henoch schonlein purpura (HSP) – a rare condition in which blood vessels become inflamed. She was sent away and told to take ibuprofen but soon her symptoms started to worsen.
Despite the aggressive nature of Hodgkin lymphoma, it is one of the most easily treated types of cancer and her tumour has now shrunk to 7.5 cm by last month.
She added: "I was misdiagnosed several times, and it took six months before I started to get pains in my joints and back. I was sent to A&E and that's where they found the mass on my chest. When I was told that I had cancer I felt numb. I now want to urge others to always get a second opinion, it's really important to be aware of the rare signs of cancer, luckily mine was caught in time but unfortunately this may not be the case for everyone."




